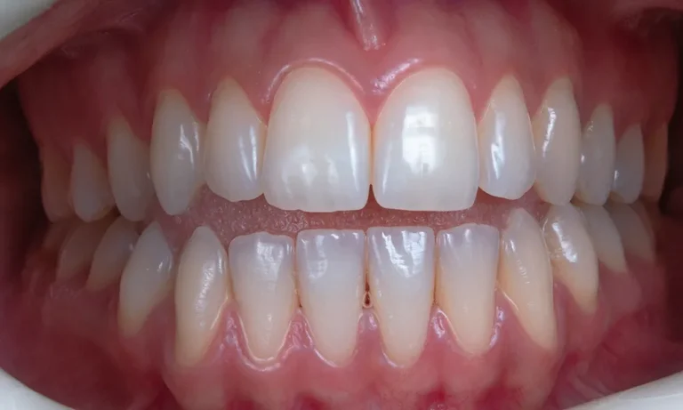
روکش سرامیکی چیست؟
روکشهای سرامیکی، لایههایی نازک از مواد سرامیکی هستند که بر روی سطح دندان قرار میگیرند. این روکشها باعث پوشش کامل نقاط آسیب دیده یا نازک شده دندانها میشوند و به طور همزمان زیبایی طبیعی دندانها را حفظ میکنند.
هزینه روکش سرامیکی در اصفهان
هزینه روکشهای سرامیکی بسته به کیفیت مواد، مهارت دندانپزشک و تعداد دندانهایی که نیاز به روکش دارند، متفاوت است. در کلینیکهای معتبر اصفهان، این درمان با قیمتهایی منصفانه و مطابق با تعرفههای روز ارائه میشود، در حالیکه کیفیت زیبایی و دوام آن نیز در سطحی بالا تضمین شده است.
خدمات روکش سرامیکی اقساطی در اصفهان
برای رفاه حال بیماران، بسیاری از کلینیکهای دندانپزشکی در اصفهان خدمات روکش سرامیکی را بهصورت اقساطی نیز ارائه میدهند. این گزینه به شما کمک میکند تا بدون نگرانی از هزینههای اولیه، از درمانهای زیبایی و ترمیمی با کیفیت بهرهمند شوید.
بهترین متخصص روکش سرامیکی در اصفهان
برای انجام روکش سرامیکی، انتخاب دندانپزشک متخصص زیبایی با تجربه و مهارت بالا اهمیت بسیاری دارد. خوشبختانه در سپاهانشهر و دیگر مناطق اصفهان، دندانپزشکانی فعالیت میکنند که در این حوزه تخصص دارند و با بهکارگیری تجهیزات روز دنیا، نتایجی چشمگیر خلق میکنند. اگر به دنبال بهترین تجربه درمانی هستید، میتوانید به [بهترین کلینیک دندان پزشکی اصفهان] مراجعه کنید.
جرمگیری روکش دندان در اصفهان
با اینکه روکشهای سرامیکی در برابر لکه و جرم مقاوم هستند، اما به مرور زمان و با مصرف غذاها و نوشیدنیهای رنگدار، ممکن است در محل اتصال لبهی روکش به لثه، جرم تشکیل شود. در کلینیکهای دندانپزشکی اصفهان، جرمگیری حرفهای روکش دندان با استفاده از ابزارهای پیشرفته انجام میشود تا سلامت لثه و دوام روکش حفظ شود، بدون آنکه آسیبی به ساختار آن وارد گردد.
مزایای استفاده از روکشهای سرامیکی
طبیعیترین ظاهر
روکشهای سرامیکی به دلیل شباهت بسیار زیاد با رنگ و بافت دندانها، ظاهری بسیار طبیعی به دندانها میبخشند و تفاوت قابل توجهی با دندانهای طبیعی ایجاد نمیکنند.
بهبود رنگ و شکل دندانها
روکشهای سرامیکی به دندانپزشکان این امکان را میدهند که رنگ و شکل دندانها را تغییر دهند و به افراد اجازه میدهند تا دندانهایی با ظاهری جذابتر و متناسب تر با چهره خود داشته باشند.
مقاومت در برابر لکهها و خوردگی
مواد سرامیکی مورد استفاده در روکشهای سرامیکی دارای خاصیت مقاومت در برابر لکهها و خوردگی هستند. این ویژگی باعث میشود که دندانها تا مدت طولانی با رنگ و درخشش طبیعی خود باقی بمانند.

نکات مراقبتی پس از نصب روکشهای سرامیکی
بهداشت دهان
حفظ بهداشت دهان و رعایت بهداشت لثهها پس از نصب روکشهای سرامیکی بسیار مهم است. استفاده منظم از مسواک، نخ دندانی و دهانشویه مناسب توصیه میشود.
انجام مراجعات منظم به دندانپزشک
برای حفظ سلامت دندانها و روکشهای سرامیکی، مراجعات دورهای به دندانپزشک بسیار اساسی است. دندانپزشک با بررسی وضعیت روکشها و دندانها، نکاتی را برای حفظ آنها ارائه میدهد.
چرا روکشهای سرامیکی بهترین انتخاب برای دندانها هستند؟
روکشهای سرامیکی به دلیل شباهت بالای خود با دندانهای طبیعی، یکی از محبوبترین گزینهها در دندانپزشکی زیبایی به شمار میآیند. آنها نه تنها به دندانها زیبایی طبیعی میبخشند بلکه از مقاومت بالایی در برابر لکهها و خوردگی نیز برخوردارند، بهطوریکه میتوانند مدتها رنگ و درخشندگی طبیعی خود را حفظ کنند. این ویژگیها، روکشهای سرامیکی را به گزینهای ایدهآل برای کسانی که به دنبال زیبایی و دوام در دندانهای خود هستند تبدیل میکند.








