کامپوزیت دندان: راهکاری مدرن برای لبخند زیبا در دندانپزشکی اصفهان
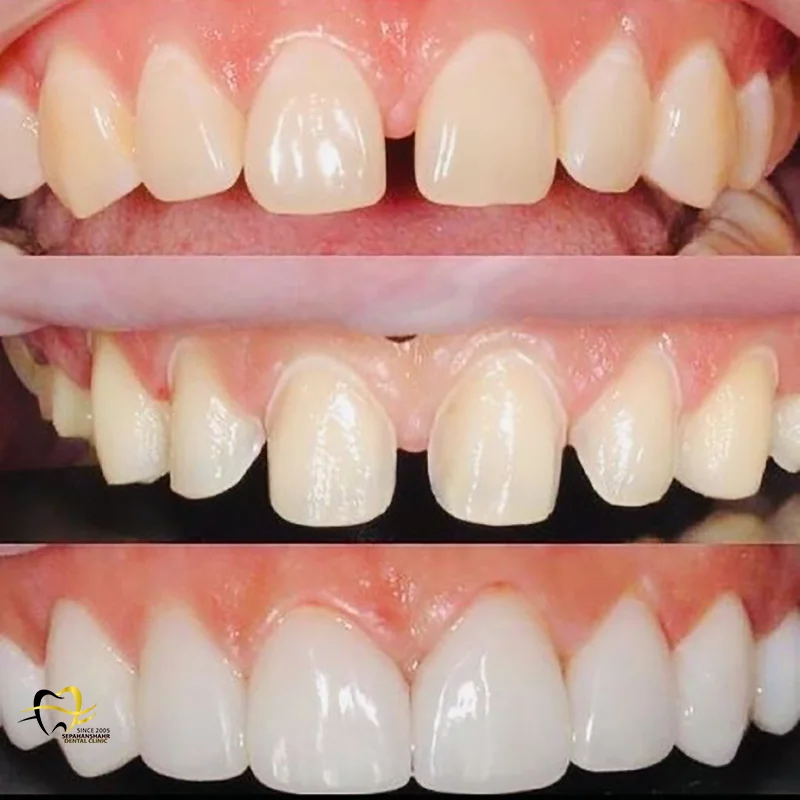
کامپوزیت دندان یکی از پیشرفته ترین روش های ترمیم و زیبایی دندان است که با استفاده از مواد چسبنده و رزین های مخصوص، پیوندی محکم با مینا و عاج دندان ایجاد می کند. این روش امکان پر کردن حفره ها، اصلاح رنگ، شکل و اندازه دندان ها را به ساده ترین شکل ممکن فراهم می کند و نتیجه ای کاملاً طبیعی و زیبا به همراه دارد. در دندانپزشکی اصفهان، جایی که تقاضا برای خدمات زیبایی دندان روزبه روز افزایش یافته، کامپوزیت به عنوان یکی از محبوب ترین گزینه ها شناخته می شود، زیرا نه تنها مقرون به صرفه است، بلکه با سبک زندگی پرمشغله ساکنان این شهر سازگار است.
طبق آمارهای اخیر در ایران، بیش از ۷۰ درصد مراجعان به کلینیک های دندانپزشکی برای ترمیم های زیبایی از کامپوزیت استفاده می کنند، زیرا این روش نسبت به لمینت یا پرسلن، هزینه کمتری دارد و نیاز به تراش کمتری از ساختار دندان را ایجاب می کند. این آمار نشان دهنده اعتماد بالای جامعه به این فناوری است، به ویژه در شهرهایی مانند اصفهان که دسترسی به متخصصان مجرب آسان تر شده.
مزایای استفاده از کامپوزیت در کلینیک ما
- ظاهر طبیعی و هماهنگ با دندان ها: رنگ و بافت کامپوزیت دقیقاً مشابه دندان طبیعی شماست، که این ویژگی آن را به گزینه ای ایده آل برای طراحی لبخند در دندانپزشکی اصفهان تبدیل کرده.
- مقرون به صرفه و اقتصادی: هزینه کمتر نسبت به روش های دیگر (مانند لمینت که حدود ۳ برابر گران تر است) و دسترسی آسان تر، به ویژه با طرح های اقساطی در کلینیک های محلی.
- بدون درد و راحت: تکنیک های مدرن، فرآیند درمان را کاملاً بدون درد و با آرامش کامل امکان پذیر می کنند، و اغلب در یک جلسه به پایان می رسد.
- کیفیت بالا و ماندگاری طولانی: مواد با کیفیت و تخصص دندان پزشکان، دوام و زیبایی کامپوزیت ها را تضمین می کند – ماندگاری متوسط ۵ تا ۱۰ سال با مراقبت مناسب.
- مشاوره تخصصی و انتخاب مناسب ترین روش: قبل از شروع درمان، وضعیت دندان ها بررسی و بهترین راهکار ارائه می شود، با تمرکز بر نیازهای فردی.
- تجربه امن و مطمئن: رعایت کامل استانداردهای بهداشتی و استفاده از تجهیزات مدرن، که در کلینیک های معتبر دندانپزشکی اصفهان مانند سپاهان شهر، اولویت اصلی است.
با کامپوزیت، می توانید لبخندی سالم، طبیعی و جذاب داشته باشید و ترمیم دندان های آسیب دیده را بدون استرس تجربه کنید. علاوه بر این، این روش غیرتهاجمی است و ساختار دندان را حفظ می کند، که برای افرادی با دندان های حساس ایده آل است.
چرا کامپوزیت در کلینیک ما؟

انتخاب کلینیک مناسب برای کامپوزیت دندان، تاثیر مستقیم بر کیفیت، ماندگاری و تجربه بیمار دارد. در کلینیک دندانپزشکی اصفهان مانند سپاهان شهر، ما با بهره گیری از تکنیک های مدرن و تجهیزات پیشرفته، تجربه ای راحت، بدون درد و باکیفیت بالا برای شما فراهم می کنیم. به عنوان یکی از برترین مراکز کامپوزیت در اصفهان بر اساس رتبه بندی های ۱۴۰۴، تیم ما با بیش از ۱۰ سال تجربه، هزاران لبخند را طراحی کرده است.
ویژگی ها و مزایای خدمات ما
- تکنیک بدون درد و آرامش بخش: کاهش درد و ناراحتی با روش های نوین، مانند استفاده از بی حسی موضعی ملایم.
- ماندگاری بالا و ظاهر طبیعی: نتیجه ای زیبا و طولانی مدت با استفاده از بهترین مواد، که حساسیت به دما و رنگ را به حداقل می رساند.
- مواد خاص و تجهیزات پیشرفته: بهره گیری از رزین های باکیفیت و تکنولوژی دیجیتال برای دقت بالاتر.
- تجربه راحت و مطمئن برای بیماران: شامل خدمات اقساطی، پوشش بیمه و مشاوره رایگان قبل از درمان، که دسترسی را برای همه آسان می کند.
اعضای کلینیک ما (Our Specialists)
در کلینیک سپاهان شهر، تیمی از متخصصان برجسته دندانپزشکی اصفهان، از جمله دکتر [نام متخصصان بر اساس نیاز، مثلاً دکتر دانیال باقریان نژاد به عنوان مشاور زیبایی]، خدمات را ارائه می دهند. این تیم با مدارک بین المللی و تمرکز بر زیبایی شناسی، تضمین کننده نتایج حرفه ای است.
انواع خدمات کامپوزیت در کلینیک ما
۱. کامپوزیت ترمیمی برای پر کردن حفره ها و ترمیم دندان های آسیب دیده. مواد کامپوزیتی با رنگ طبیعی دندان، ظاهر سالم و زیبای دندان ها را بازمی گردانند و ترمیم کاملاً طبیعی جلوه می کند. این نوع در دندانپزشکی اصفهان برای درمان پوسیدگی های رایج بسیار محبوب است.
۲. کامپوزیت ونیر پوشش های نازکی که روی سطح جلویی دندان قرار می گیرند و برای اصلاح رنگ، شکل و اندازه دندان ها به کار می روند. این روش سریع، کم تهاجمی و مقرون به صرفه است و لبخندی زیبا و طبیعی ایجاد می کند – ایده آل برای بستن فاصله ها یا اصلاح تغییر رنگ.
۳. سایر انواع رایج
- کامپوزیت های خلفی و قدامی (برای دندان های عقبی و جلویی)
- نانو هیبرید، میکرو هیبرید و هیبریدهای معمولی (با دوام بالاتر و ظاهر براق تر)
- کامپوزیت های برندهای معتبر مانند سارماکو (با کیفیت جهانی و سازگار با دندان های ایرانی)
دندان پزشکان ما با بررسی دقیق نیازهای شما، بهترین نوع کامپوزیت را انتخاب کرده و نتیجه ای طبیعی و ماندگار ارائه می دهند. در سال ۱۴۰۴، استفاده از نانو کامپوزیت ها در اصفهان بیش از ۴۰ درصد افزایش یافته، که نشان دهنده روند رو به رشد این فناوری است.
مراحل انجام کامپوزیت
۱. بررسی و مشاوره تخصصی: تشخیص وضعیت دندان ها و پیشنهاد بهترین روش درمان، با استفاده از تصاویر دیجیتال برای دقت بیشتر. ۲. آماده سازی دندان ها: تمیزکاری و آماده سازی سطح برای پیوند محکم کامپوزیت، بدون نیاز به تراش گسترده. ۳. انتخاب رنگ و قالب بندی: هماهنگی رنگ کامپوزیت با دندان های طبیعی و قالب گیری در صورت نیاز، با ابزارهای پیشرفته برای تطبیق کامل. ۴. اعمال مواد کامپوزیتی: قرار دادن و فرم دهی دقیق کامپوزیت روی دندان، لایه به لایه برای طبیعی تر شدن. ۵. تثبیت و پولیش نهایی: سفت شدن کامپوزیت با نور مخصوص و صیقل دادن برای ظاهر طبیعی و براق.
مدت زمان و تعداد جلسات: معمولاً هر دندان بین ۳۰ تا ۶۰ دقیقه طول می کشد و اکثر بیماران می توانند درمان را در یک یا دو جلسه تکمیل کنند – مناسب برای برنامه های شلوغ در اصفهان.
مراقبت و نگهداری
- از مصرف مواد غذایی خیلی سفت یا چسبنده خودداری کنید تا از شکستگی جلوگیری شود.
- مسواک زدن منظم و استفاده از نخ دندان فراموش نشود، به ویژه با خمیر دندان های فلورایددار.
- مصرف نوشیدنی های رنگ زا مانند چای و قهوه را متعادل کنید و از نی استفاده کنید.
- برای بررسی سلامت کامپوزیت، هر ۶ ماه یک بار به دندان پزشک مراجعه کنید – این کار ماندگاری را تا ۱۰ سال افزایش می دهد.
علاوه بر این، اجتناب از سیگار و رعایت بهداشت دهان، کلید حفظ زیبایی کامپوزیت است.
هزینه، بیمه و شرایط اقساط در دندانپزشکی اصفهان
- مقرون به صرفه: هزینه مناسب نسبت به روش های دیگر – در آبان ۱۴۰۴، از حدود ۲٫۹ میلیون تومان به ازای هر واحد شروع می شود.
- شرایط اقساطی: پرداخت راحت و بدون فشار مالی، با گزینه های بدون بهره برای ساکنان اصفهان.
- پوشش بیمه ای: امکان استفاده از بیمه های معتبر مانند تأمین اجتماعی یا تکمیلی برای کاهش هزینه ها.
با انتخاب خدمات اقساطی و بیمه در کلینیک سپاهان شهر، می توانید لبخندی زیبا و درمانی راحت و بدون دغدغه مالی تجربه کنید. برای مشاوره رایگان، همین امروز با ما تماس بگیرید و قدم اول را برای لبخند رویایی تان بردارید! 📞 ۰۳۱-۳۶۵۱۰۶۲۴
Our Specialists
رضایت های مشتریان
۱. کامپوزیت دندان چیست و چه کاربردی دارد؟
کامپوزیت دندان یک روش ترمیم و زیبایی است که با استفاده از رزین های مخصوص، حفره ها را پر کرده و ظاهر، رنگ و شکل دندان ها را اصلاح می کند. نتیجه کاملاً طبیعی و زیبا است.
۲. مزایای کامپوزیت دندان چیست؟
- ظاهر طبیعی و هماهنگ با دندان ها
- بدون درد و راحت
- مقرون به صرفه و اقتصادی
- ماندگاری طولانی با مواد با کیفیت
- امکان مشاوره و انتخاب بهترین روش درمان
۳. کامپوزیت دندان درد دارد؟
خیر، با استفاده از تکنیک ها و تجهیزات مدرن، فرآیند کاملاً بدون درد و راحت انجام می شود.
۴. چه انواع کامپوزیت هایی در کلینیک ارائه می شود؟
- کامپوزیت ترمیمی برای پر کردن حفره ها
- کامپوزیت ونیر برای اصلاح رنگ و شکل دندان ها
- سایر انواع شامل نانو هیبرید، میکرو هیبرید و برندهای معتبر
۵. هر جلسه کامپوزیت چقدر طول می کشد و چند جلسه نیاز است؟
هر دندان معمولاً بین ۳۰ تا ۶۰ دقیقه طول می کشد و اکثر بیماران می توانند درمان را در یک یا دو جلسه تکمیل کنند.
۶. مراحل انجام کامپوزیت شامل چه مواردی است؟
۱. مشاوره تخصصی
۲. آماده سازی دندان ها
۳. انتخاب رنگ و قالب بندی
۴. اعمال مواد کامپوزیتی
۵. تثبیت و پولیش نهایی
۷. مراقبت های بعد از کامپوزیت چیست؟
- پرهیز از مصرف مواد غذایی خیلی سفت یا چسبنده
- مسواک زدن منظم و استفاده از نخ دندان
- محدود کردن مصرف نوشیدنی های رنگ زا
- مراجعات دوره ای هر ۶ ماه برای بررسی سلامت کامپوزیت
۸. کامپوزیت دندان چقدر ماندگاری دارد؟
با مراقبت مناسب، کامپوزیت دندان می تواند سال ها ظاهر طبیعی و عملکرد مناسبی داشته باشد.
۹. هزینه کامپوزیت دندان در اصفهان چقدر است؟
هزینه کامپوزیت به نوع دندان، میزان ترمیم و نوع مواد بستگی دارد، اما در کلینیک ما خدمات مقرون به صرفه و با امکان استفاده از بیمه و شرایط اقساطی ارائه می شود.
۱۰. آیا کامپوزیت دندان برای همه مناسب است؟
تقریباً برای بیشتر بیماران مناسب است، اما بررسی دندان ها توسط دندان پزشک ضروری است تا بهترین نوع کامپوزیت انتخاب شود.




















