ایمپلنت فوری: کاشت دندان در کم تر یک روز در اصفهان با کلینیک دندانپزشکی اصفهان
- راه های ارتباطی
-
فرم نوبت دهی:
(در اولین فرصت با شما تماس میگیریم)
ایمپلنت دندان یکی از پیشرفته ترین و مطمئن ترین روش های جایگزینی دندان های از دست رفته در دندانپزشکی مدرن است. این روش که بر پایه کاشت یک فیکسچر یا پایه فلزی (معمولاً تیتانیوم) در استخوان فک استوار است، امکان ایجاد دندان های مصنوعی با ظاهری کاملاً طبیعی و عملکردی مشابه دندان های واقعی را فراهم می کند. ایمپلنت ها به گونه ای طراحی شده اند که پس از جوش خوردن با استخوان فک، ثبات و استحکام بالایی داشته باشند و بتوانند فشارهای ناشی از جویدن و گاز زدن را به راحتی تحمل کنند.
کاربردهای ایمپلنت دندان
ایمپلنت دندان تنها برای جایگزینی یک دندان از دست رفته به کار نمی رود؛ بلکه کاربردهای گسترده تری دارد:
- جایگزینی چند دندان از دست رفته: با استفاده از ایمپلنت می توان چندین دندان را به صورت متصل یا مجزا جایگزین کرد.
- حفظ سلامت استخوان فک: با از دست رفتن دندان، استخوان فک شروع به تحلیل می کند؛ ایمپلنت با تحریک استخوان، از تحلیل رفتن آن جلوگیری می کند.
- پشتیبانی از پروتزهای کامل یا جزئی: ایمپلنت ها می توانند به عنوان پایه ای محکم برای دندان های مصنوعی یا بریج ها استفاده شوند و باعث افزایش راحتی بیمار شوند.
- زیبایی و اعتماد به نفس: ایمپلنت ها با ظاهری مشابه دندان طبیعی، لبخند بیمار را بازسازی کرده و اعتماد به نفس او را افزایش می دهند.
مقایسه با روش های سنتی جایگزینی دندان
در گذشته، جایگزینی دندان های از دست رفته عمدتاً با روش هایی مانند دندان مصنوعی متحرک یا بریج های سنتی انجام می شد. این روش ها با وجود برخی مزایا، محدودیت های قابل توجهی داشتند:
- دندان مصنوعی متحرک ممکن است لغزندگی داشته باشد و راحتی بیمار را کاهش دهد.
- بریج سنتی نیازمند تراش دندان های سالم مجاور است که می تواند ساختار دندان ها را ضعیف کند.
- تحلیل استخوان در محل دندان از دست رفته ادامه می یابد، زیرا هیچ فشاری به استخوان وارد نمی شود.
در مقابل، ایمپلنت دندان با ایجاد اتصال مستقیم با استخوان فک، نه تنها مشکل جایگزینی دندان را حل می کند بلکه از تحلیل استخوان جلوگیری کرده و عملکردی طبیعی تر ارائه می دهد.
دلایل محبوبیت ایمپلنت
ایمپلنت دندان به دلیل مزایای فراوان، در دهه های اخیر به روش محبوب جایگزینی دندان تبدیل شده است:
- دوام و ماندگاری بالا: ایمپلنت ها می توانند ده ها سال بدون نیاز به تعویض کار کنند، به شرط مراقبت صحیح.
- ظاهر طبیعی: تاج ایمپلنت به گونه ای ساخته می شود که کاملاً شبیه دندان واقعی است و از نظر رنگ، شکل و اندازه با دندان های اطراف هماهنگ می شود.
- عملکرد کامل در جویدن و صحبت کردن: بیمار می تواند بدون محدودیت غذایی، مانند دندان طبیعی غذا بخورد و صحبت کند.
- حفظ ساختار استخوان و لثه: ایمپلنت با تحریک استخوان و لثه، از تحلیل آن ها جلوگیری می کند و باعث ثبات بافت های دهان می شود.
با توجه به این مزایا، روز به روز بر محبوبیت ایمپلنت دندان افزوده می شود و بسیاری از بیماران به جای روش های سنتی، این روش را انتخاب می کنند.
برای اطلاعات جامع تر درباره ایمپلنت، عوارض احتمالی آن و نکات مراقبتی که پس از کاشت باید رعایت شوند، می توانید به مقاله ی ایمپلنت چیست؟ عوارض و مراقبت های بعد از درمان مراجعه کنید. این مقاله به شما کمک می کند که پیش از تصمیم گیری، با تمام جنبه های این روش درمانی آشنا شوید و انتخابی آگاهانه داشته باشید.
انواع ایمپلنت دندان
ایمپلنت دندان انواع مختلفی دارد که بسته به شرایط بیمار، وضعیت استخوان و نیازهای زیبایی و عملکردی انتخاب می شوند. در ادامه رایج ترین انواع ایمپلنت و ویژگی های هر کدام آورده شده است:
ایمپلنت معمولی (Traditional Implant)
ایمپلنت معمولی یکی از قدیمی ترین و شناخته شده ترین روش ها برای جایگزینی دندان های از دست رفته است. در این روش، پایه ایمپلنت در استخوان فک کاشته شده و معمولاً چند ماه برای جوش خوردن آن به استخوان زمان لازم است. پس از اطمینان از ثبات پایه، روکش دائمی روی آن نصب می شود.
مزایا:
- دوام و ماندگاری بالا
- ثبات عالی در جویدن و صحبت کردن
- مناسب برای بیشتر بیماران
معایب:
- زمان طولانی درمان (معمولاً ۳ تا ۶ ماه)
- نیاز به چند جلسه جراحی
ایمپلنت فوری (Immediate / Same-Day Implant)
ایمپلنت فوری روشی است که در آن کاشت پایه و نصب روکش موقت در یک روز انجام می شود. این روش برای افرادی مناسب است که می خواهند روند درمان سریع باشد و کمتر زمان ببرند.
مزایا:
- کاهش تعداد جلسات درمان
- امکان بازگشت سریع لبخند طبیعی
- کاهش دوره نقاهت
معایب:
- نیاز به استخوان با تراکم مناسب
- حساسیت بیشتر نسبت به جراحی و دقت بالا
- امکان نیاز به مراقبت ویژه پس از درمان
ایمپلنت دیجیتال و ایمپلنت با لیزر
این روش ها پیشرفته ترین تکنولوژی در دندانپزشکی مدرن هستند. در ایمپلنت دیجیتال، از نرم افزارهای شبیه سازی و هدایت کامپیوتری برای تعیین بهترین موقعیت کاشت استفاده می شود. ایمپلنت با لیزر نیز شامل برش های دقیق لثه بدون خونریزی و درد کمتر است.
مزایا:
- دقت بسیار بالا در تعیین موقعیت ایمپلنت
- کاهش جراحی تهاجمی و خونریزی
- بهبود سریع تر و تجربه راحت تر برای بیمار
معایب:
- نیاز به تجهیزات پیشرفته
- هزینه بالاتر نسبت به ایمپلنت معمولی
- محدودیت در بعضی شرایط استخوانی خاص
مراحل کاشت ایمپلنت
فرآیند کاشت ایمپلنت شامل چند مرحله مهم است که هر کدام نقش حیاتی در موفقیت درمان دارند:
۱. ارزیابی دقیق وضعیت دندان ها و لثه
در ابتدا دندانپزشک وضعیت دندان ها، لثه ها و استخوان فک شما را به دقت بررسی می کند. بررسی های بالینی و پرسش درباره سوابق پزشکی و بهداشت دهان و دندان انجام می شود تا اطمینان حاصل شود که شما کاندید مناسبی برای ایمپلنت هستید.
۲. تصویربرداری دیجیتال و CBCT
برای برنامه ریزی دقیق، تصویربرداری دیجیتال و سی تی اسکن سه بعدی (CBCT) انجام می شود. این تصاویر اطلاعات مهمی درباره تراکم استخوان، ساختار ریشه های دندان های مجاور و موقعیت اعصاب فراهم می کنند و به تعیین بهترین زاویه و عمق کاشت پایه کمک می کنند.
۳. آماده سازی استخوان و پیوند در صورت نیاز
اگر استخوان فک کافی یا تراکم لازم برای کاشت ایمپلنت نداشته باشد، مراحل آماده سازی انجام می شود. این می تواند شامل پیوند استخوان (Bone Grafting) یا تقویت بافت لثه باشد. هدف این است که پایه ایمپلنت در محیطی پایدار و ایمن قرار گیرد.
۴. نصب پایه ایمپلنت و روکش موقت
پس از آماده سازی استخوان، پایه ایمپلنت به دقت در محل مورد نظر کاشته می شود. در روش های فوری یا دیجیتال، ممکن است روکش موقت بلافاصله روی پایه نصب شود تا ظاهر طبیعی دندان حفظ شود و بیمار بتواند عملکرد طبیعی دهان خود را تجربه کند.
۵. روکش دائمی و تنظیمات نهایی
پس از جوش خوردن پایه با استخوان (که معمولاً چند ماه طول می کشد)، روکش دائمی ساخته شده و روی پایه نصب می شود. دندانپزشک تمام تنظیمات لازم برای رنگ، شکل و ارتفاع را انجام می دهد تا دندان جدید کاملاً هماهنگ با دندان های طبیعی اطراف باشد.
عوارض ایمپلنت دندان چیست؟
ایمپلنت دندان یکی از روش های مطمئن و پایدار برای جایگزینی دندان های از دست رفته است، اما مثل هر روش جراحی دیگری ممکن است با عوارض کوتاه مدت و طولانی مدت همراه باشد. شناخت این عوارض و رعایت نکات پیشگیرانه می تواند احتمال بروز مشکلات را به حداقل برساند.
۱. عوارض کوتاه مدت
پس از کاشت ایمپلنت، معمولاً بیمار ممکن است تجربه کند:
- درد و ناراحتی: اغلب پس از چند روز کاهش می یابد و با داروهای تجویز شده کنترل می شود.
- تورم و کبودی: در ناحیه لثه و اطراف فک ممکن است تورم ایجاد شود، که معمولاً طی ۳ تا ۷ روز کاهش پیدا می کند.
- خونریزی مختصر: بلافاصله بعد از جراحی ممکن است کمی خونریزی مشاهده شود که با فشار و پانسمان کنترل می شود.
۲. عوارض طولانی مدت
در موارد نادر، ممکن است عوارضی در طولانی مدت ظاهر شوند که نیاز به پیگیری دقیق دارند:
- شکست اتصال با استخوان (Osseointegration Failure): در صورتی که پایه ایمپلنت به خوبی با استخوان جوش نخورد، ایمپلنت ناپایدار می شود.
- تحلیل لثه و استخوان: کاهش حجم استخوان و لثه اطراف ایمپلنت می تواند منجر به نمایان شدن پایه و ایجاد مشکل در زیبایی و عملکرد شود.
- مشکلات ناشی از فشار بیش از حد: استفاده نادرست یا جویدن بیش از حد می تواند فشار اضافی به ایمپلنت وارد کند و باعث آسیب شود.
۳. عوامل افزایش دهنده ریسک
بعضی شرایط می توانند احتمال بروز عوارض را بالا ببرند:
- بیماری های زمینه ای کنترل نشده: دیابت، مشکلات سیستم ایمنی و بیماری های مزمن.
- سیگار و مصرف دخانیات: تأثیر مستقیم بر روند جوش خوردن استخوان و بهبود زخم دارد.
- رعایت نکردن بهداشت دهان و دندان: عدم مسواک زدن منظم، استفاده نکردن از نخ دندان و شستشوی ضعیف دهان می تواند التهاب و عفونت ایجاد کند.
۴. نکات پیشگیری از عوارض
برای کاهش ریسک عوارض ایمپلنت، رعایت موارد زیر ضروری است:
- انجام ایمپلنت توسط متخصص ماهر و با تجربه
- بررسی دقیق وضعیت استخوان و لثه قبل از جراحی
- رعایت دستورالعمل های پزشک و برنامه مراقبتی دقیق
- پرهیز از دخانیات و مواد آسیب رسان به بافت لثه
- مراجعه به موقع برای پیگیری های دوره ای
مراقبت های بعد از ایمپلنت: نکات ضروری برای بهبودی سریع و موفق
مراقبت صحیح بعد از کاشت ایمپلنت نقش حیاتی در موفقیت درمان و طول عمر دندان های جایگزین دارد. رعایت این نکات باعث کاهش درد، تورم و خطر عفونت می شود.
۱. مراقبت های بهداشتی روزانه
- مسواک زدن ملایم حداقل دو بار در روز
- استفاده از نخ دندان یا واتر فلاسر برای تمیز کردن اطراف ایمپلنت
- شستشوی دهان با دهان شویه ضدعفونی کننده تجویز شده توسط پزشک
۲. محدودیت های غذایی
- پرهیز از غذاهای سفت و چسبنده در هفته های اول
- خودداری از مصرف خوراکی های خیلی داغ یا سرد تا بهبود بافت لثه
- رعایت رژیم غذایی نرم و سبک برای کاهش فشار روی ایمپلنت
۳. استفاده از محافظ دندان و جلوگیری از ضربه
- در ورزش ها یا فعالیت هایی که امکان ضربه به دهان وجود دارد، استفاده از محافظ توصیه می شود.
- جلوگیری از عادات مضر مثل جویدن یخ یا ناخن
۴. پیگیری های دوره ای و جلسات معاینه
- مراجعه به دندانپزشک طبق زمان بندی مشخص برای بررسی جوش خوردن ایمپلنت
- انجام عکس های رادیوگرافی در صورت نیاز برای اطمینان از سلامت پایه و لثه
۵. اهمیت رعایت دستورالعمل های پزشک
- مصرف داروهای تجویز شده طبق زمان بندی
- رعایت توصیه های غذایی و بهداشتی
- تماس فوری با پزشک در صورت بروز درد شدید، خونریزی یا تورم غیرمعمول
عوامل مؤثر در موفقیت ایمپلنت
موفقیت هر درمان ایمپلنت به عوامل متعددی بستگی دارد که بررسی و رعایت آن ها باعث افزایش احتمال جوش خوردن ایمپلنت و رضایت بیمار می شود. در ادامه مهم ترین عوامل را بررسی می کنیم:
۱. مهارت متخصص و تجربه کلینیک
یکی از کلیدی ترین عوامل موفقیت ایمپلنت، تخصص و تجربه دندانپزشک و تیم کلینیک است. یک متخصص با تجربه قادر است:
- ارزیابی دقیق شرایط دهان و فک بیمار انجام دهد.
- برنامه ریزی دقیق برای محل کاشت، زاویه و عمق ایمپلنت داشته باشد.
- مدیریت بهینه جراحی و پیشگیری از عوارض احتمالی را انجام دهد.
کلینیک های دارای تجربه طولانی و تجهیزات پیشرفته، معمولاً میزان موفقیت بالاتری دارند و می توانند خطر شکست درمان را به حداقل برسانند.
۲. کیفیت پایه و برند ایمپلنت
انتخاب برند معتبر و استفاده از پایه ایمپلنت با کیفیت بالا، یکی دیگر از عوامل حیاتی است. ایمپلنت های استاندارد و شناخته شده:
- اتصال محکم با استخوان فک ایجاد می کنند (Osseointegration موفق).
- دوام و طول عمر بالایی دارند و کمتر دچار شکست می شوند.
- در طراحی و جنس پایه، با بافت طبیعی دهان سازگار هستند.
۳. سلامت عمومی و تراکم استخوان
وضعیت عمومی بدن و تراکم استخوان فک نقش مهمی در موفقیت ایمپلنت دارند. برخی موارد مهم عبارت اند از:
- وجود تراکم کافی استخوان برای نگهداری پایه ایمپلنت
- سلامت لثه و نبود بیماری های فعال دهانی
- کنترل بیماری های مزمن مانند دیابت یا مشکلات سیستم ایمنی
- پرهیز از مصرف دخانیات و مواد آسیب رسان به لثه
۴. تکنولوژی های مورد استفاده
استفاده از فناوری های نوین می تواند دقت و موفقیت ایمپلنت را به شدت افزایش دهد:
- CBCT (سی تی اسکن سه بعدی): امکان بررسی دقیق ضخامت و تراکم استخوان و موقعیت ریشه های مجاور را فراهم می کند.
- لیزر: کاهش خونریزی و تورم، بهبود سریع تر بافت لثه و افزایش راحتی بیمار.
- تکنولوژی دیجیتال: برنامه ریزی دقیق و ساخت روکش های متناسب با دندان های طبیعی.
مزایای ایمپلنت فوری در مقابل روش سنتی
ایمپلنت فوری یا ایمپلنت در کمتر از یک روز، نسبت به روش سنتی، چندین مزیت کلیدی دارد که آن را برای بسیاری از بیماران جذاب می کند:
۱. کاهش جلسات درمان
در روش سنتی، ممکن است درمان ایمپلنت چندین جلسه و حتی ماه ها طول بکشد، زیرا:
- ابتدا دندان کشیده می شود
- سپس استخوان جوش می خورد
- و بعد پایه ایمپلنت و روکش نصب می شوند
در ایمپلنت فوری، تمامی این مراحل در یک جلسه یا طی چند هفته کوتاه انجام می شود، که باعث کاهش تعداد جلسات و صرفه جویی در زمان بیمار می شود.
۲. کاهش دوران نقاهت
با کاهش تعداد جلسات و استفاده از تکنولوژی های پیشرفته، دوران نقاهت کوتاه تر و درد کمتر است. بیمار تجربه راحت تری دارد و سریع تر به زندگی عادی بازمی گردد.
۳. روکش فوری و ظاهر طبیعی
یکی از مزایای بزرگ ایمپلنت فوری، امکان نصب روکش موقت یا فوری است. این روکش:
- ظاهر طبیعی دندان ها را حفظ می کند
- لبخند بیمار بلافاصله پس از درمان ترمیم می شود
- به بیمار اعتماد به نفس بیشتری می دهد
۴. صرفه جویی در زمان و هزینه
ایمپلنت فوری باعث کاهش هزینه های جانبی و اضافی می شود، زیرا:
- نیاز به جراحی های جداگانه کاهش می یابد
- زمان حضور در کلینیک و سفرهای متعدد کمتر می شود
- درمان سریع تر انجام می شود و بیمار می تواند زودتر از نتیجه درمان بهره مند شود
استفاده از ایمپلنت فوری، به ویژه در کلینیک های مجهز و با تجربه، نه تنها درمانی سریع و راحت ارائه می دهد، بلکه نتایج زیبایی و عملکردی قابل اعتماد را برای بیماران تضمین می کند.
سوالات متداول بیماران درباره ایمپلنت
ایمپلنت دندان یکی از محبوب ترین روش های جایگزینی دندان های از دست رفته است، اما بیماران معمولاً سوالات متعددی درباره این درمان دارند. در ادامه، مهم ترین پرسش ها و پاسخ های علمی و کاربردی ارائه شده است:
۱. آیا ایمپلنت درد دارد؟
یکی از رایج ترین نگرانی ها درباره ایمپلنت، درد و ناراحتی بعد از جراحی است. واقعیت این است که:
- در اکثر موارد، درمان تحت بی حسی موضعی انجام می شود و بیمار در طول جراحی درد احساس نمی کند.
- ممکن است بعد از جراحی، کمی درد، تورم یا کبودی طبیعی باشد که معمولاً طی چند روز تا یک هفته کاهش می یابد.
- استفاده از داروهای تجویز شده توسط دندانپزشک و رعایت مراقبت های پس از جراحی می تواند ناراحتی را به حداقل برساند.
بنابراین، بیماران می توانند با اطمینان نسبی به این درمان اقدام کنند و تجربه ای بدون درد و ایمن داشته باشند.
۲. طول عمر ایمپلنت چقدر است؟
طول عمر ایمپلنت به عوامل مختلفی بستگی دارد، از جمله:
- کیفیت پایه ایمپلنت و برند آن: استفاده از برندهای معتبر و استاندارد، دوام و استحکام طولانی مدت را تضمین می کند.
- تخصص و مهارت دندانپزشک: نصب دقیق و اصولی پایه ایمپلنت، احتمال موفقیت درمان را افزایش می دهد.
- مراقبت های بعد از درمان: رعایت بهداشت دهان و دندان، عدم مصرف دخانیات و پیروی از دستورات پزشک در طول عمر ایمپلنت تأثیر مستقیم دارد.
به طور میانگین، ایمپلنت های استاندارد با مراقبت مناسب می توانند ۲۰ تا ۳۰ سال یا حتی طول عمر مادام العمر دوام داشته باشند.
۳. هزینه ایمپلنت فوری و معمولی چقدر است؟
هزینه ایمپلنت به عوامل متعددی بستگی دارد:
- نوع ایمپلنت (فوری یا معمولی)
- برند پایه ایمپلنت
- نیاز به جراحی های اضافی مانند پیوند استخوان
- خدمات جانبی شامل روکش موقت و لابراتوار
به طور کلی، ایمپلنت فوری ممکن است کمی گران تر باشد، اما به دلیل کاهش جلسات درمان و زمان کمتر، در بسیاری از موارد مقرون به صرفه تر از ایمپلنت سنتی است. همچنین کلینیک های معتبر، اغلب امکان پرداخت اقساطی فراهم می کنند تا فشار مالی برای بیمار کاهش یابد.
۴. آیا همه افراد می توانند ایمپلنت انجام دهند؟
ایمپلنت برای اکثر افراد مناسب است، اما شرایط خاصی وجود دارد که ممکن است انجام ایمپلنت را محدود کند:
- بیماری های کنترل نشده مانند دیابت شدید یا مشکلات سیستم ایمنی
- بیماری های فعال لثه یا عفونت استخوان در محل کاشت
- مصرف مداوم دخانیات و مواد آسیب رسان به بافت لثه
- تراکم ناکافی استخوان فک
متخصصین کلینیک دندانپزشکی اصفهان قبل از شروع درمان، بررسی های دقیق انجام می دهند تا تشخیص دهند که بیمار کاندید مناسبی برای ایمپلنت است یا خیر.
Our Specialists
مزایای بینظیر ایمپلنت فوری: چرا این روش محبوب است
ایمپلنت فوری، بهخصوص روش Fresh که متخصصین ما در اون تخصص دارن، مزایای زیادی برای بیمار داره که فراتر از سرعت عمل است:
Socket
کاهش جلسات جراحی و بی حسی: مهمترین مزیت اینه که شما فقط یکبار جراحی و بی حسی رو تجربه میکنید. این یعنی ناراحتی کمتر و بهبود سریعتر.
مدت زمان درمان کوتاهتر: در مقایسه با روش سنتی که باید ماهها برای بهبود محل کشیده شدن دندان و سپس ماهها برای جوش خوردن ایمپلنت صبر کنید، ایمپلنت فوری این مراحل رو به طور همزمان پیش میبره و حدود ۳ تا ۴ ماه در زمان صرفهجویی میکنه.
نتایج و ظاهر بهتر (حفظ استخوان): وقتی ایمپلنت بلافاصله بعد از کشیدن دندان کاشته میشه، به حفظ بافت استخوانی و لثه در ناحیه کمک میکنه. این کار نه تنها ظاهر نهایی رو طبیعیتر و زیباتر میکنه، بلکه از تحلیل رفتن استخوان فک هم جلوگیری میکنه.
کاهش عوارض و درد بعد از جراحی: با یکبار جراحی، میزان درد، تورم و دوران نقاهت به طور چشمگیری کاهش پیدا میکنه.
جلوگیری از هزینههای غیرمنتظره: در بسیاری از موارد ایمپلنت فوری، نیاز به جراحیهای اضافه مثل پیوند استخوان فک در آینده رو کمتر میکنه که در نهایت به کاهش هزینههای کلی منجر میشه.
رضایت بیشتر بیمار: به دلیل سرعت بالا، راحتی بیشتر و نتایج زیباییشناختی بهتر، بیماران معمولاً از تجربه ایمپلنت فوری رضایت بسیار بالاتری دارن.
مناسب برای دندانهای جلو: ایمپلنت فوری دندان جلو، یک راهحل عالی برای جایگزینی سریع دندانهایی هست که در معرض دید قرار دارن و نقش مهمی در زیبایی لبخند ایفا میکنن. در این موارد، حتی اگه روکش دائم آماده نباشه، روکش موقت میتونه بلافاصله ظاهر طبیعی لبخند شما رو برگردونه.
ایمپلنت فوری با لیزر در اصفهان: تجربه کاشت دندان بدون خونریزی
در کلینیک دندانپزشکی اصفهان، امکان انجام ایمپلنت فوری با لیزر هم فراهم هست. این روش که معمولاً بین ۳۰ تا ۴۵ دقیقه طول میکشه، تفاوت اصلیش با ایمپلنت فوری معمولی در نحوه برش مخاط لثه است. با استفاده از لیزر، برشها بدون خونریزی انجام میشن و به بهبود سریعتر کمک میکنن. این تکنولوژی پیشرفته، راحتی و ایمنی درمان رو به اوج میرسونه.
شرایط کاشت ایمپلنت فوری: آیا شما کاندید مناسب هستید؟
اگرچه ایمپلنت فوری مزایای زیادی داره، اما انجام اون نیاز به شرایط خاصی داره و برای همه افراد مناسب نیست. متخصصین کلینیک دندانپزشکی اصفهان با بررسی دقیق، تشخیص میدن که آیا شما کاندید مناسبی برای این روش هستید یا خیر. مواردی که مانع از انجام ایمپلنت فوری میشن عبارتند از:
مصرف دخانیات و مشروبات الکلی: این مواد میتونن روند بهبود و جوش خوردن استخوان رو مختل کنن.
بیماریهای زمینهای کنترل نشده: بیماریهایی مثل دیابت کنترل نشده یا مشکلات سیستم ایمنی میتونن روی موفقیت ایمپلنت تأثیر بذارن.
بیماری فعال لثه (پریودنتیت حاد) یا عفونت استخوان در ناحیه کاشت: قبل از کاشت ایمپلنت، هرگونه عفونت یا بیماری لثه باید درمان بشه.
ناسالم بودن کلی دهان و دندان: سایر مشکلات دهانی باید قبل از ایمپلنت رفع بشن.
تراکم ناکافی استخوان فک در ناحیه کاشت: اگه تراکم استخوان کافی نباشه، ممکنه نیاز به عمل پیوند استخوان (GBR) قبل یا همزمان با ایمپلنت باشه.
عادت فشردن دندانها به یکدیگر (براکسیسم) شدید و کنترل نشده.
مراحل کاشت ایمپلنت فوری در کلینیک دندانپزشکی اصفهان
کاشت ایمپلنت فوری در کلینیک دندانپزشکی اصفهان شامل دو مرحله اصلی است:
پیش از کاشت ایمپلنت فوری (ارزیابی و برنامهریزی دقیق):
در این مرحله، دندانپزشک متخصص شما وضعیت دندان آسیبدیده رو به دقت بررسی میکنه.
با استفاده از سیتیاسکن (CBCT) و عکسهای رادیوگرافی دیجیتال پیشرفته، ضخامت و تراکم استخوان فک، وضعیت ریشههای دندانهای مجاور و اعصاب بررسی میشه. این بررسیهای دقیق برای اطمینان از مناسب بودن شما برای ایمپلنت فوری و تعیین بهترین موقعیت کاشت ضروریه.
جلسه کاشت ایمپلنت فوری (در کم تر یک روز):
پس از تأیید و برنامهریزی دقیق، زمان جلسه کاشت تعیین میشه.
ناحیه مورد نظر کاملاً بیحس میشه.
اگه دندون خراب وجود داشته باشه، با حداقل تهاجم خارج میشه.
سپس، حفرهای دقیقاً به اندازه پایه ایمپلنت در استخوان فک ایجاد میشه. دقت در اندازه و موقعیت این حفره برای موفقیت ایمپلنت حیاتیه.
پایه ایمپلنت (فیکسچر) به صورت محکم در استخوان قرار میگیره.
در صورت نیاز، پودر استخوان (GBR) در اطراف ایمپلنت برای تحریک استخوانسازی و استحکام بیشتر استفاده میشه.
بلافاصله یک تاج موقت روی پایه ایمپلنت قرار داده میشه تا هم ظاهر زیبایی رو حفظ کنه و هم به بهبود و فرمدهی لثه کمک کنه.
بعد از چند ماه (معمولاً 3 تا 4 ماه) که پایه ایمپلنت به طور کامل با استخوان جوش خورد، تاج اصلی یا دائمی که کاملاً متناسب با دندانهای طبیعی شماست، روی پایه قرار میگیره.
تفاوت اصلی ایمپلنت فوری و ایمپلنت معمولی دقیقاً در همین نقطه است: تمامی مراحل از کشیدن دندان تا کاشت پایه و نصب روکش موقت، در یک جلسه صورت میگیره.
عوارض ایمپلنت فوری: با خیالی آسوده درمان شوید
ایمپلنت فوری، مثل هر جراحی دیگهای، میتونه عوارض کوتاهمدتی مثل خونریزی جزئی، تورم یا کبودی داشته باشه که معمولاً طبیعی هستن و به سرعت برطرف میشن. اما مهمترین نکته برای کاهش ریسک و افزایش موفقیت، انجام اون توسط دندانپزشک ماهر و توانمند است.
شاید شنیده باشید که ایمپلنت فوری، احتمال موفقیت رو کمی کاهش میده (حدود ۱۰ درصد). این به این معنی نیست که خطرناکه، بلکه چون زمان کمتری برای جوش خوردن اولیه صرف میشه، نیاز به دقت بالاتر و تخصص بیشتر پزشک داره. جای هیچ نگرانی نیست، چرا که متخصصین کلینیک دندانپزشکی اصفهان تجربه بسیار زیادی در انواع روشهای کاشت ایمپلنت، از جمله ایمپلنت فوری و ایمپلنت دیجیتال رو دارن. ایشون با رعایت دقیق اصول علمی و استفاده از تکنولوژی پیشرفته، احتمال موفقیت رو به حداکثر میرسونن.
نکته مهم دیگه اینکه، بیمار هم باید دستورات مراقبتی پزشک رو مو به مو انجام بده تا از بروز عوارض جلوگیری بشه.
قیمت ایمپلنت فوری در اصفهان: سرمایهگذاری برای لبخند و سلامت
سوال رایجی که پیش میاد اینه که هزینه ایمپلنت فوری چقدره؟ قیمت ایمپلنت فوری در اصفهان بستگی به عوامل مختلفی داره و برای هر بیمار متفاوته. به طور کلی، قیمت هر واحد ایمپلنت در محدودهای بین ۶ تا ۱۲ میلیون تومان متغیره. اما به دلیل اینکه در ایمپلنت فوری معمولاً از بهترین برندهای ایمپلنت استفاده میشه و شامل هزینه پروتز موقت و لابراتوار هم میشه، هزینه نهایی اون کمی از ایمپلنت معمولی (که قیمت پایه اون در اصفهان از 9 تا 15 میلیون تومان متغیره) بیشتر خواهد بود.
با این حال، باید در نظر داشت که با کاشت ایمپلنت فوری، شما از هزینههای غیرمنتظرهای مثل پیوند استخوان فک در آینده (در برخی موارد) در امان هستید و در زمان هم صرفهجویی میکنید.
خبر خوب برای شما! کلینیک دندانپزشکی اصفهان این امکان رو برای بیماران عزیز فراهم کرده که هزینههای ایمپلنت رو به صورت اقساطی پرداخت کنن. برای اطلاعات بیشتر میتونید با ما تماس بگیرید.
تفاوتهای کلیدی ایمپلنت فوری با ایمپلنت دندان معمولی
همونطور که گفتیم، ایمپلنت فوری یکی از به روزترین روشها برای کاشت دندانه و تفاوتهای مهمی با ایمپلنت معمولی داره:
میزان خونریزی و جراحت: در ایمپلنت فوری، بهویژه با استفاده از لیزر، میزان خونریزی و جراحت به طور قابل توجهی کاهش پیدا میکنه.
درد و دوران نقاهت: ایمپلنت فوری میزان درد و ناراحتی بعد از عمل رو به حداقل میرسونه و دوران نقاهت بسیار کوتاهتری داره.
سرعت روند درمان: کل فرآیند از کشیدن دندان تا کاشت پایه و نصب روکش موقت در یک جلسه انجام میشه، که به سرعت به لبخند زیبای شما برمیگردید.
دقت بالاتر: روند انجام ایمپلنت فوری، بهویژه با تکنولوژیهای جدید مثل ایمپلنت دیجیتال، بسیار دقیقتره و احتمال خطا رو کاهش میده.
مراقبتهای بعد از ایمپلنت فوری: تضمین طول عمر لبخند شما
طول عمر ایمپلنت به عوامل زیادی بستگی داره، اما مراقبتهای بعد از ایمپلنت نقش حیاتی دارن. مراقبت از ایمپلنتها دقیقاً مثل مراقبت از دندانهای طبیعی خودمونه:
بهداشت دهان و دندان: روزی دو بار مسواک بزنید و بعد از هر وعده غذایی دهان خود را بشویید.
ترک سیگار و مشروبات الکلی: این مواد میتونن روی سلامت ایمپلنت و لثه تأثیر منفی بذارن.
پرهیز از فعالیتهای سنگین: در روز های اولیه بعد از جراحی، از انجام فعالیتهای شدید پرهیز کنید.
استفاده از محافظ دندان: در ورزشهایی که احتمال ضربه به صورت وجود داره (مثل فوتبال)، حتماً از محافظ دندان استفاده کنید.
رعایت دقیق دستورات پزشک: داروهای تجویز شده رو بهموقع مصرف کنید و از کمپرس یخ برای کاهش تورم استفاده کنید.
نتیجهگیری: با کلینیک دندانپزشکی اصفهان، لبخندتان را از نو بسازید
در این مقاله، به طور کامل به بررسی ایمپلنت فوری (کاشت دندان یک روزه در اصفهان) پرداختیم. همونطور که اشاره شد، طول عمر ایمپلنت به برند ایمپلنت، مهارت متخصص و مراقبتهای شما بستگی داره. متخصصین کلینیک دندانپزشکی اصفهان، با سالها تجربه و استفاده از بهروزترین متدها و تجهیزات، متعهد به ارائه بالاترین کیفیت خدمات به شما هستند.
ما در کلینیک دندانپزشکی اصفهان، علاوه بر تخصص و تجربه، راحتی و آرامش شما رو در اولویت قرار میدیم. با محیط آرام و اتاقهای VIP، شرایط پرداخت اقساطی منعطف و بهویژه پشتیبانی ۲۴ ساعته پرستاران مجرب، تجربهای متفاوت و بینقص از درمان ایمپلنت رو برای شما فراهم میکنیم.
برای دریافت مشاوره رایگان و هماهنگی وقت، همین حالا با ما تماس بگیرید:
تماس با کلینیک دندانپزشکی اصفهان: 03136510624
- فرم نوبت دهی (در اولین فرصت با شما تماس میگیریم)
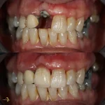
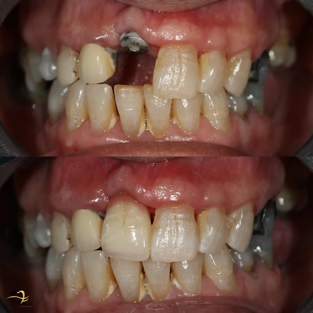
نمونه کار های ایمپلنت کلینیک دندانپزشکی در اصفهان
1. ایمپلنت فوری دقیقاً چیه و چه فرقی با ایمپلنت معمولی داره؟
ایمپلنت فوری یعنی کاشت دندان و نصب روکش موقت (یا حداقل پایه ایمپلنت) در همون جلسهای که دندان کشیده میشه، یا حتی در کمتر از یک روز، که باعث میشه شما خیلی سریعتر به دندان جدیدتون برسید.
تفاوت اصلی با ایمپلنت معمولی اینه که در روش معمولی، بعد از کشیدن دندان باید چندین ماه برای بهبود و استخوانسازی صبر کنید و بعد ایمپلنت کاشته بشه. در حالی که در ایمپلنت فوری، این مراحل به طور همزمان یا در بازه زمانی بسیار کوتاهتری انجام میشه.
2. چه کسانی میتونن ایمپلنت فوری انجام بدن؟ آیا همه کاندید این روش هستن؟
خیر، همه افراد کاندید ایمپلنت فوری نیستن. این روش نیازمند شرایط خاصی مثل تراکم استخوان کافی و سلامت عمومی دهان و دندان هست. مواردی مثل مصرف دخانیات، بیماریهای زمینهای کنترل نشده یا عفونت شدید در ناحیه کاشت، میتونن مانع انجام این روش بشن. متخصصین کلینیک دندانپزشکی اصفهان بعد از بررسی دقیق وضعیت شما با سیتیاسکن و رادیوگرافی، تشخیص میدن که آیا شما کاندید مناسبی هستید یا خیر.
3. مزایای اصلی ایمپلنت فوری چیه؟
ایمپلنت فوری مزایای زیادی داره که شامل این موارد میشه:
سرعت بالا: دندان جدید در کمتر از یک روز یا در بازه زمانی خیلی کوتاهتر.
کاهش جلسات درمانی و بی حسی: فقط یک بار جراحی اصلی.
حفظ بهتر استخوان و لثه: به دلیل کاشت فوری بعد از کشیدن دندان.
زیبایی سریعتر لبخند: بهخصوص برای دندانهای جلو، با نصب روکش موقت.
کاهش درد و دوران نقاهت.
جلوگیری از برخی هزینههای جانبی مانند پیوند استخوان در آینده.
4. هزینه ایمپلنت فوری در اصفهان چقدره و آیا امکان پرداخت اقساطی وجود داره؟
قیمت ایمپلنت فوری به عوامل مختلفی مثل نوع ایمپلنت، برند، تعداد واحدها و نیاز به اقدامات جانبی (مثل پیوند استخوان) بستگی داره. در مقاله به محدودهای از قیمتها اشاره شده (مثلاً بین ۶ تا ۱۲ میلیون تومان برای هر واحد، و نهایتاً از ۹ تا ۱۵ میلیون تومان).
بله، کلینیک دندانپزشکی اصفهان برای راحتی شما، شرایط پرداخت اقساطی منعطفی رو فراهم کرده تا دغدغه مالی کمتری داشته باشید. برای اطلاع دقیق از هزینهها و شرایط اقساطی، بهتره با کلینیک تماس بگیرید.
5. آیا ایمپلنت فوری درد داره؟
همونطور که در مقاله اشاره شد، ایمپلنت فوری با هدف کاهش درد و خونریزی نسبت به روشهای سنتی انجام میشه. در طول جراحی، ناحیه مورد نظر کاملاً بیحس میشه و شما هیچ دردی رو احساس نمیکنید. بعد از جراحی هم ممکنه کمی ناراحتی یا تورم وجود داشته باشه که با داروهای تجویزشده قابل کنترله.
6. بعد از ایمپلنت فوری چه مراقبتهایی لازمه؟
مراقبتهای بعد از ایمپلنت فوری برای تضمین طول عمر اون خیلی مهمن، و شبیه مراقبت از دندانهای طبیعی هستن:
رعایت دقیق بهداشت دهان و دندان (مسواک زدن و نخ دندان کشیدن).
پرهیز از سیگار و مشروبات الکلی.
پرهیز از فعالیتهای سنگین و استفاده از محافظ دندان در ورزشهای پربرخورد.
مصرف منظم داروها و رعایت دستورات پزشک.
7. آیا کلینیک دندانپزشکی اصفهان اتاق VIP یا پشتیبانی 24 ساعته داره؟
بله، حتماً! کلینیک دندانپزشکی اصفهان برای راحتی و آرامش بیشتر شما، اتاقهای VIP داره تا تجربه درمانی دلپذیری رو داشته باشید. علاوه بر این، ما به فکر شما بعد از درمان هم هستیم و پرستاران مجرب ما به صورت ۲۴ ساعته آماده پشتیبانی و پاسخگویی به سوالات شما هستند. میتونید در هر ساعت از شبانهروز با ما تماس بگیرید.



























